Tendo em mente a complexidade do coração humano, vamos nos aprofundar em sua anatomia. O coração é um órgão importante com quatro aberturas principais e uma estrutura chamada crista terminal no átrio direito. Esse recurso cria uma crista divisória no átrio, dividindo-o em uma parte com uma rede complexa (o apêndice atrial direito trabecular) e uma parte mais lisa (o seio venoso). Embora importantes, seu tamanho e aparência podem variar amplamente, causando confusão potencial em imagens médicas. Curiosamente, cerca de 40% das pessoas apresentam crista terminal pronunciada, com incidência maior em mulheres. Este detalhe anatômico muitas vezes esquecido pode levar a sérios mal-entendidos, especialmente em técnicas de imagem complexas.
Lewen Stempler, e Aiden Ghesani, da Escola de Medicina Icahn do Monte Sinai, em Nova York, destaca a necessidade de identificar adequadamente a captação normal e inofensiva no coração. As descobertas, publicadas na revista especializada Radiology Case Reports, revelam os riscos do diagnóstico incorreto e o importante papel da interpretação precisa em imagens médicas.
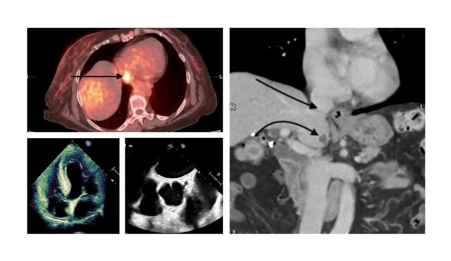
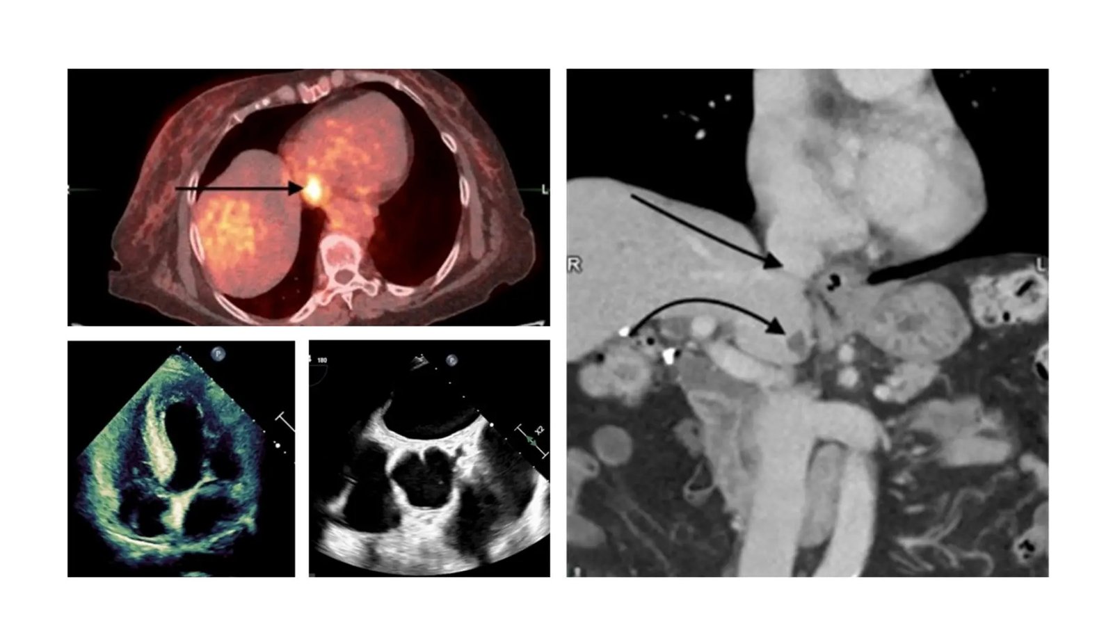
Busra Cangut detalha: “Um exame PET/CT com 18F-FDG (uma glicose radioativa) realizado para determinar o estadiamento do câncer mostrou intensa atividade no átrio direito, semelhante a uma hérnia de tecido mole. Um exame mais profundo subsequente usando ecocardiografia transesofágica (ETE) confirmou conclusivamente que o que foi visto foi na verdade uma hérnia de crista terminal, uma variação comum na anatomia cardíaca”. diagnosticada com câncer de mama. Sua PET/CT 18F-FDG, parte de sua avaliação de câncer, mostrou inesperadamente atividade significativa em seu átrio direito, inicialmente indicando uma massa potencialmente perigosa. Esta observação preocupante levou a uma avaliação mais aprofundada, que foi esclarecida como uma crista terminal proeminente, uma variação típica da estrutura cardíaca.
“A crista terminal está localizada no átrio direito e corre ao longo da parede lateral entre as duas veias principais (veia cava superior e inferior). Em alguns casos, a atividade normal do F-18 FDG na crista terminal pode ser erroneamente identificada como um trombo tumoral, como aconteceu no nosso caso. Portanto, ao analisar essas imagens, é crucial ter uma compreensão profunda da captação normal e de suas alterações nas estruturas cardíacas padrão”, enfatizou o Dr. Este estudo é importante para demonstrar os desafios de interpretar com precisão essas imagens. A crista terminal pode apresentar atividade que pode ser confundida com sinais de trombo tumoral, o que é uma preocupação em pacientes com câncer. Este estudo destaca a importância de uma compreensão completa da captação fisiológica normal e das alterações benignas nas estruturas cardíacas padrão para evitar interpretações errôneas.
Essas descobertas são particularmente importantes para profissionais médicos. Eles enfatizam a necessidade de revisar e interpretar cuidadosamente os resultados de imagem e considerar variantes benignas. Essa conscientização pode reduzir preocupações desnecessárias para pacientes e médicos, evitar exames de imagem adicionais desnecessários e garantir cuidados adequados e oportunos. No geral, este estudo é um lembrete da complexidade e sutileza das imagens médicas. Ele destaca a necessidade de um exame minucioso na interpretação dos exames para distinguir com precisão entre resultados prejudiciais e não prejudiciais. Este caso específico ilustra o ditado “nem tudo que reluz é ouro” e enfatiza a necessidade de considerar variantes cardíacas normais ao fazer um diagnóstico.
Referência do diário
Aiden Ghesani, Busra Cangut, Lewen Stempler, “Nem tudo que brilha é ouro, captação normal da crista terminalis no FDG PET: captação normal mascarada como trombo tumoral se aproximando do coração direito”, Radiology Case Reports, 2024. DOI: https://doi.org/10.1016/j.radcr.2023.10.068.
Sobre o autor
Dr. Busra KangutA jornada da educação e pesquisa médica é rica e diversificada. Ela se formou em medicina pela Escola de Medicina da Universidade de Marmara, em Istambul. Enquanto cursava medicina, ela atuou como estagiária em instituições de prestígio como a Universidade de Harvard, a Clínica Cleveland e a Cirurgia Cardíaca da Universidade do Texas. Após a faculdade de medicina, ela ingressou no Departamento de Cirurgia Cardíaca da Clínica Mayo como pós-doutorada, onde passou um ano fazendo pesquisa científica básica, com foco em modelos de ratos com componentes avançados de placas ateroscleróticas. Posteriormente, durante o pós-doutorado, participou de um ensaio clínico comparando diferentes biopróteses valvares aórticas.
Ela continuou suas atividades acadêmicas, obtendo um mestrado em ciências clínicas e translacionais e um estágio de um ano em cirurgia geral na Clínica Mayo. Atualmente, o Dr. Kangut está profundamente envolvido no avanço de tecnologias de imagem cardíaca personalizadas para patologias valvares específicas no Hospital Mount Sinai, em Nova York. Seu trabalho abrange uma abordagem multifacetada à cirurgia cardiotorácica, integrando ciência básica, conhecimento clínico e modalidades de imagem para fornecer uma compreensão abrangente da área.
Os interesses de pesquisa do Dr. Cangut concentram-se em técnicas de imagem cardíaca de ponta, particularmente na exploração de aplicações de PET/MRI para patologias valvares específicas. Além disso, recebeu o prêmio ERAS Cardiac Fellowship, dedicado a otimizar o cuidado perioperatório para pacientes de cirurgia cardíaca. Ela está desenvolvendo ativamente conjuntos de instruções projetados para facilitar a implementação ampla e contínua de protocolos de cuidados perioperatórios baseados em evidências, com o objetivo final de melhorar os resultados dos pacientes. Movido por uma paixão pela excelência acadêmica, o Dr. Kangut aspira se tornar um cirurgião cardíaco acadêmico. Sua visão inclui a utilização de imagens cardíacas para planejamento cirúrgico e o desenvolvimento de uma compreensão mais profunda da patologia da doença e seu impacto no coração por meio de técnicas avançadas de imagem.



