À medida que as pessoas envelhecem, o sangue e o sistema imunológico perdem gradualmente força. Uma das principais causas é a diminuição das células-tronco hematopoiéticas (HSCs), responsáveis pela produção de todos os tipos de células sanguíneas. Em condições saudáveis, estas células estaminais podem auto-renovar-se e produzir uma mistura equilibrada de células sanguíneas. No entanto, com o tempo, eles se tornam menos eficientes. Eles produzem menos células novas, começam a favorecer certos tipos de células, como as células mieloides em detrimento dos linfócitos, e são menos capazes de suportar uma forte resposta imunológica.
Vários factores parecem contribuir para este declínio, incluindo danos celulares acumulados, alterações na actividade genética, inflamação crónica de baixo nível e alterações no ambiente da medula óssea. Mesmo assim, os cientistas não compreendem completamente como estas diferentes tensões se combinam para prejudicar a função do HSC.
Estudando os principais caminhos do envelhecimento
Para entender melhor esse processo, pesquisadores da Universidade de Tóquio, no Japão, e do St. Jude Children’s Research Hospital, nos Estados Unidos, exploraram como o estresse relacionado à idade afeta as HSCs. Eles se concentraram no eixo de sinalização da proteína quinase 3 de interação com o receptor (RIPK3), semelhante à quinase de linhagem mista (MLKL), que é comumente associado à necroptose, uma forma de morte celular programada.
O estudo foi liderado pelo Dr. Masayuki Yamashita, membro associado do St. Jude Children’s Research Hospital, que era professor assistente do Instituto de Ciências Médicas da Universidade de Tóquio na época da investigação. Os co-autores incluem o Dr. Atsushi Iwama, do Instituto de Ciências Médicas da Universidade de Tóquio, e o Dr. Yuta Yamada, do Hospital de Pesquisa Infantil St.
Descobertas surpreendentes sobre MLKL
A pesquisa começou com uma observação inesperada. Yamashita explicou: “Descobrimos um fenótipo inesperado em HSCs de camundongos knockout para MLKL que foram repetidamente tratados com 5-fluorouracil. Embora não tenha havido diferença detectável na morte de HSC, as alterações funcionais associadas ao envelhecimento foram significativamente atenuadas.
Esta descoberta sugere que o MLKL pode afetar a senescência das células-tronco sem realmente matar as células. Esta ideia está no cerne do estudo, publicado em comunicações da natureza 6 de abril de 2026.
Como os cientistas testam o mecanismo
Para explorar esta possibilidade, os investigadores utilizaram vários tipos de ratos geneticamente modificados, incluindo modelos de tipo selvagem, deficientes em MLKL e deficientes em RIPK3. Eles também usaram ratos repórteres especializados projetados para detectar a ativação de MLKL usando um biossensor baseado em transferência de energia de ressonância de Förster.
Os ratos foram expostos a diferentes condições de estresse que imitam o envelhecimento, como inflamação, estresse replicativo e estresse cancerígeno. Para medir a função das células estaminais hematopoiéticas, a equipa de investigação baseou-se principalmente em transplantes de medula óssea para testar a capacidade das células estaminais de reconstruir o sistema sanguíneo.
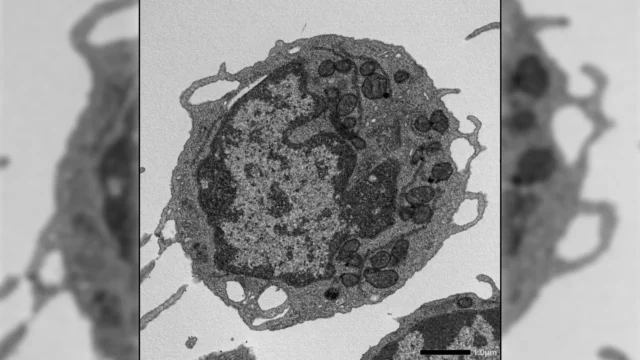
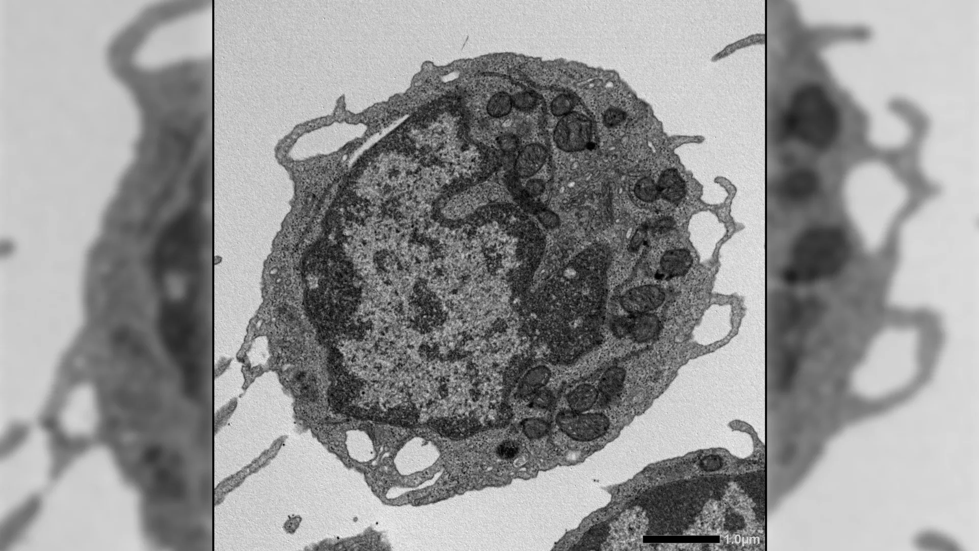
Outras técnicas fornecem insights mais profundos, incluindo citometria de fluxo, amplificação ex vivo, sequenciamento de RNA, análise de sequenciamento de cromatina acessível por transposase, imagens de alta resolução, testes metabólicos e estudos detalhados de mitocôndrias. Juntos, esses métodos permitem aos pesquisadores estudar como o MLKL afeta os HSCs em vários níveis.
Danos mitocondriais sem morte celular
Os resultados revelam um papel até então desconhecido para MLKL no envelhecimento das células-tronco. Embora MLKL esteja comumente associado à morte celular, sua ativação em HSCs não aumenta a morte celular nem reduz o número de células. Em vez disso, funciona de uma maneira diferente.
Quando ativado sob estresse, o MLKL move-se brevemente para as mitocôndrias, as estruturas produtoras de energia dentro das células. Lá, causa danos ao diminuir o potencial da membrana, alterar a estrutura mitocondrial e reduzir a produção de energia. Esses efeitos levam a características-chave do envelhecimento das células-tronco hematopoiéticas, incluindo redução da capacidade de auto-renovação, diminuição da produção de linfócitos e uma mudança em direção à produção de células mieloides.
O bloqueio do MLKL preserva a função das células-tronco
Quando o MLKL é removido ou inativado, muitos desses problemas são significativamente reduzidos. HSCs sem MLKL retiveram capacidade regenerativa, geraram células imunológicas mais saudáveis, exibiram menos danos ao DNA e mantiveram melhor função mitocondrial. Esses benefícios são observados mesmo em animais mais velhos ou em condições estressantes.
Notavelmente, estas melhorias ocorreram sem grandes alterações na expressão genética ou na acessibilidade da cromatina. Isto sugere que o MLKL afecta o envelhecimento através de processos que ocorrem após a actividade genética, particularmente ao nível das estruturas celulares como as mitocôndrias, e não através de alterações na regulação do ADN ou inflamação.
Implicações para o envelhecimento e tratamentos futuros
As descobertas apontam para caminhos comuns que ligam vários tipos de estresse celular ao dano mitocondrial e ao envelhecimento das células-tronco. Ao identificar o MLKL como um elo fundamental neste processo, o estudo fornece novos insights sobre como o envelhecimento afeta o sistema sanguíneo.
Yamashita enfatizou: “No longo prazo, esta pesquisa pode levar a terapias que preservam a função das células-tronco hematopoiéticas, melhorando, em última análise, a recuperação e a saúde a longo prazo de pacientes submetidos a quimioterapia, radioterapia ou transplante. Ao revelar como a ativação não letal das vias de morte celular impulsiona a senescência das células-tronco, essas descobertas podem inspirar o desenvolvimento de uma nova classe de medicamentos protetores de mitocôndrias ou moduladores de necrose”.
Nova compreensão do envelhecimento das células-tronco
No geral, este estudo demonstra que MLKL desempenha um papel importante no envelhecimento das células-tronco sem causar morte celular. Em vez disso, com o tempo, responde ao stress danificando as mitocôndrias e prejudicando a função das HSC. A descoberta desafia as visões convencionais das proteínas relacionadas à necroptose e abre novas possibilidades para retardar ou prevenir declínios relacionados à idade no sangue e no sistema imunológico.



