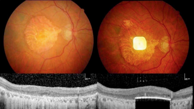
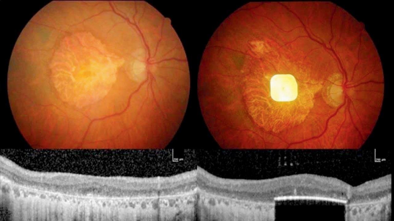
Implante ocular pode ajudar pessoas cegas a ler novamente. Os testes descobriram que 84% dos participantes foram capazes de reconhecer letras, números e palavras usando o dispositivo. O processo começa com a remoção do gel vítreo do olho. Um microchip é então colocado sob a retina. Os pacientes usam óculos de realidade aumentada conectados a um computador usado na cintura. A câmera dos óculos captura cenas visuais e as projeta como feixes no chip. A inteligência artificial cria a percepção visual convertendo-a em sinais elétricos que vão para o cérebro através do nervo óptico.
Esta história foi importada de um feed de terceiros, agências. Midday não aceita nenhuma responsabilidade pela confiabilidade, confiabilidade, confiabilidade e dados do texto. Mid-day management/mid-day.com reserva-se o direito de alterar, excluir ou remover conteúdo (sem aviso prévio) por qualquer motivo, a seu exclusivo critério.



