Um novo estudo relata que o voo espacial não só muda a sua perspectiva, mas também a posição real do seu cérebro dentro do seu crânio.
Muitos de nós conhecemos o famoso “Efeitos de visão geral,“Ele descreve como viajar até a fronteira final muda a visão dos astronautas sobre o mundo e seu lugar nele. Mas o foco do novo estudo está na fisiologia e não na filosofia.
seu estudo, Publicado em 12 de janeiromostraram um padrão consistente de movimento do cérebro para trás e para cima, bem como rotação para cima após períodos de microgravidade, com algumas mudanças de posição ainda detectáveis meses após o retorno dos astronautas à Terra Terra.
Os cientistas há muito acompanham como os voos espaciais afetam o corpo humano, mas exatamente como a microgravidade afeta a anatomia do cérebro permanece uma questão constante. O estudo analisou dados de 15 astronautas que forneceram exames de ressonância magnética antes e depois de suas missões. espaçoe combinou-os com dados de ressonância magnética de outros 11 astronautas e 20 participantes em um experimento de “simulação de microgravidade” no qual eles ficaram acamados com a cabeça baixa por longos períodos de tempo.
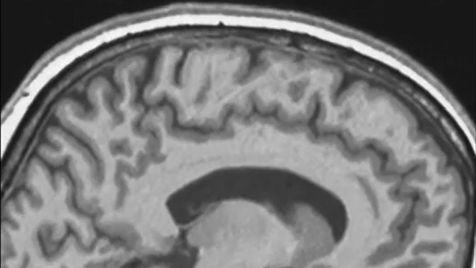
Em vez de rastrear o movimento de todo o cérebro, os pesquisadores dividiram o cérebro em 130 regiões distintas e examinaram cada área individualmente. A análise regional revelou que muitas regiões tiveram deslocamentos significativos em ambos os eixos espaciais, sugerindo uma reorientação generalizada em vez de efeitos localizados.
O estudo descobriu que entre os participantes, os cérebros tendiam a se mover para trás e para cima, e a girar em ângulo, sugerindo que a microgravidade está associada a mudanças mensuráveis na posição do cérebro dentro do crânio. O conjunto de dados inclui participantes com uma variedade de histórias espaço-temporais, desde missões de curto prazo até estadias de longo prazo, divididos em grupos de duração de missão de aproximadamente duas semanas, seis meses e um ano. Foram encontradas mudanças posicionais significativas em grandes áreas do cérebro, com alguns deslocamentos medindo até 2,52 milímetros (0,1 polegada) nos indivíduos mais graves. tempo no espaço.
Quando os pesquisadores compararam astronautas com participantes em repouso na cama, descobriram que seus movimentos eram geralmente semelhantes, mas havia diferenças importantes. Os astronautas mostraram movimentos ascendentes mais fortes, enquanto os participantes em repouso na cama mostraram movimentos mais fortes para trás. Além disso, apenas um subconjunto das mudanças na forma do cérebro observadas após o voo espacial ocorreu no grupo de repouso na cama, e exatamente como o voo espacial afeta várias regiões do cérebro permanece obscuro.
Os autores dizem que esta comparação ajuda a elucidar os efeitos da microgravidade na anatomia cerebral e destaca as limitações das atuais técnicas de simulação.
O estudo também analisou se as alterações em certas regiões do cérebro estavam associadas a diferenças no desempenho dos astronautas após o regresso à Terra. Quando alguém retorna do espaço, o senso de direção do ouvido interno não retorna imediatamente, fazendo com que muitos astronautas tenham problemas de equilíbrio. Os pesquisadores descobriram que os deslocamentos que afetam as regiões cerebrais sensoriais estavam associados a declínios significativos nas habilidades de equilíbrio dos astronautas após o voo espacial.
E, embora os astronautas normalmente se recuperem cerca de uma semana após o regresso, descobriu-se que as mudanças físicas nos seus cérebros persistem até seis meses após o voo espacial, sublinhando “os efeitos a longo prazo do voo espacial na neuroanatomia”, afirmou o estudo.
Os cientistas observaram que o seu trabalho enfrentou limitações típicas da investigação de voos espaciais, incluindo tamanhos de amostra limitados e calendários de imagem rigorosos, e recomendaram estudos futuros com mais astronautas numa vasta gama de durações de missão para compreender melhor a rapidez com que as transformações cerebrais começam, como evoluem e impactam a recuperação na Terra.



