Início ANDROID Menopausa associada à perda de massa cinzenta em regiões-chave do cérebro

Menopausa associada à perda de massa cinzenta em regiões-chave do cérebro

64
0

Novas descobertas da Universidade de Cambridge sugerem que a menopausa está associada a alterações na estrutura cerebral e a níveis mais elevados de ansiedade, depressão e dificuldades de sono. Os pesquisadores descobriram que as mulheres que passaram pela menopausa reduziram o volume de massa cinzenta em várias áreas importantes do cérebro.

O estudo foi publicado em medicina psicológicatambém examinaram os efeitos da terapia de reposição hormonal (TRH). Embora a terapia de reposição hormonal não pareça prevenir essas alterações cerebrais ou de saúde mental, ela está associada a tempos de reação mais lentos.

Saiba mais sobre a menopausa e seus sintomas

A menopausa marca a fase da vida em que a menstruação da mulher para permanentemente devido a uma queda nos níveis hormonais. Ocorre mais comumente entre as idades de 45 e 55 anos e costuma ser acompanhada por sintomas como ondas de calor, humor deprimido e distúrbios do sono. Pesquisas anteriores também relacionaram a menopausa a mudanças nas habilidades cognitivas, incluindo memória, atenção e linguagem.

Para ajudar a controlar os sintomas relacionados à menopausa, especialmente depressão e problemas de sono, muitas mulheres são submetidas à terapia de reposição hormonal (TRH). No Reino Unido, 15% das mulheres receberão TRH até 2023. Apesar do seu uso generalizado, os cientistas ainda têm uma compreensão limitada de como a menopausa e a TRH afetam o cérebro, as habilidades de pensamento e a saúde mental.

Grande estudo usando dados do UK Biobank

Para compreender melhor estes efeitos, os investigadores analisaram dados do UK Biobank envolvendo cerca de 125.000 mulheres. Os participantes foram divididos em três grupos: mulheres na pré-menopausa, mulheres na pós-menopausa que nunca usaram TRH e mulheres na pós-menopausa que já usaram TRH.

Os participantes preencheram questionários sobre sintomas da menopausa, saúde mental, padrões de sono e saúde geral. Alguns também completaram testes cognitivos que mediram a memória e o tempo de reação. Além disso, cerca de 11 mil mulheres foram submetidas a exames de ressonância magnética (MRI), que permitiram aos pesquisadores examinar as diferenças na estrutura cerebral.

A idade média da menopausa entre as participantes foi de aproximadamente 49,5 anos. As mulheres que recebem TRH geralmente iniciam o tratamento por volta dos 49 anos.

Ansiedade, depressão e sono após a menopausa

As mulheres que passaram pela menopausa têm maior probabilidade do que aquelas que não passaram pela menopausa de procurar ajuda do seu médico de família ou psiquiatra para ansiedade, estresse ou depressão. Eles também tiveram pontuações mais altas em questionários sobre depressão e eram mais propensos a tomar medicamentos antidepressivos.

As mulheres do grupo de TRH apresentaram níveis mais elevados de ansiedade e depressão do que as mulheres que não usaram TRH. No entanto, uma análise mais aprofundada mostrou que estas diferenças existiam antes do início da menopausa. Os pesquisadores dizem que isso sugere que alguns médicos de clínica geral podem prescrever terapia de reposição hormonal (TRH) porque esperam que a menopausa possa piorar os sintomas existentes.

Problemas de sono também são mais comuns após a menopausa. Mulheres na pós-menopausa são mais propensas a sentir insônia, sono reduzido e fadiga persistente. As mulheres que usaram TRH relataram sentir-se mais cansadas dos três grupos, embora o tempo total de sono não tenha sido diferente das mulheres na pós-menopausa que não receberam TRH.

A importância do estilo de vida e do apoio à saúde mental

Christelle Langley, do Departamento de Psiquiatria, disse: “A maioria das mulheres passará pela menopausa, estejam elas fazendo terapia de reposição hormonal ou não, e isso pode ser um evento de mudança de vida.

“No entanto, todos nós precisamos ser mais sensíveis à saúde física e mental das mulheres que passam pela menopausa e reconhecer quando elas estão passando por dificuldades. Não deve haver constrangimento em deixar que outras pessoas saibam o que você está passando e pedir ajuda”.

Os tempos de reação diminuem enquanto a memória permanece estável

A menopausa também está associada a mudanças nas habilidades cognitivas. As mulheres que estão na pós-menopausa e que não utilizam terapia de reposição hormonal respondem mais lentamente do que as mulheres que ainda não estão na menopausa e as mulheres que estão em uso de terapia de reposição hormonal. Não houve diferenças significativas no desempenho da memória entre os três grupos.

Katharina Zühlsdorff, do Departamento de Psicologia da Universidade de Cambridge, disse: “À medida que envelhecemos, nossos tempos de reação tendem a desacelerar – isso faz parte do processo natural de envelhecimento e acontece tanto com mulheres quanto com homens. Você pode imaginar uma pergunta em um teste – embora você ainda possa obter a resposta correta quando era mais jovem, as pessoas mais jovens, sem dúvida, obterão a resposta mais rapidamente. A menopausa parece acelerar esse processo, mas a terapia de reposição hormonal parece pisar no freio, retardando um pouco o processo de envelhecimento.”

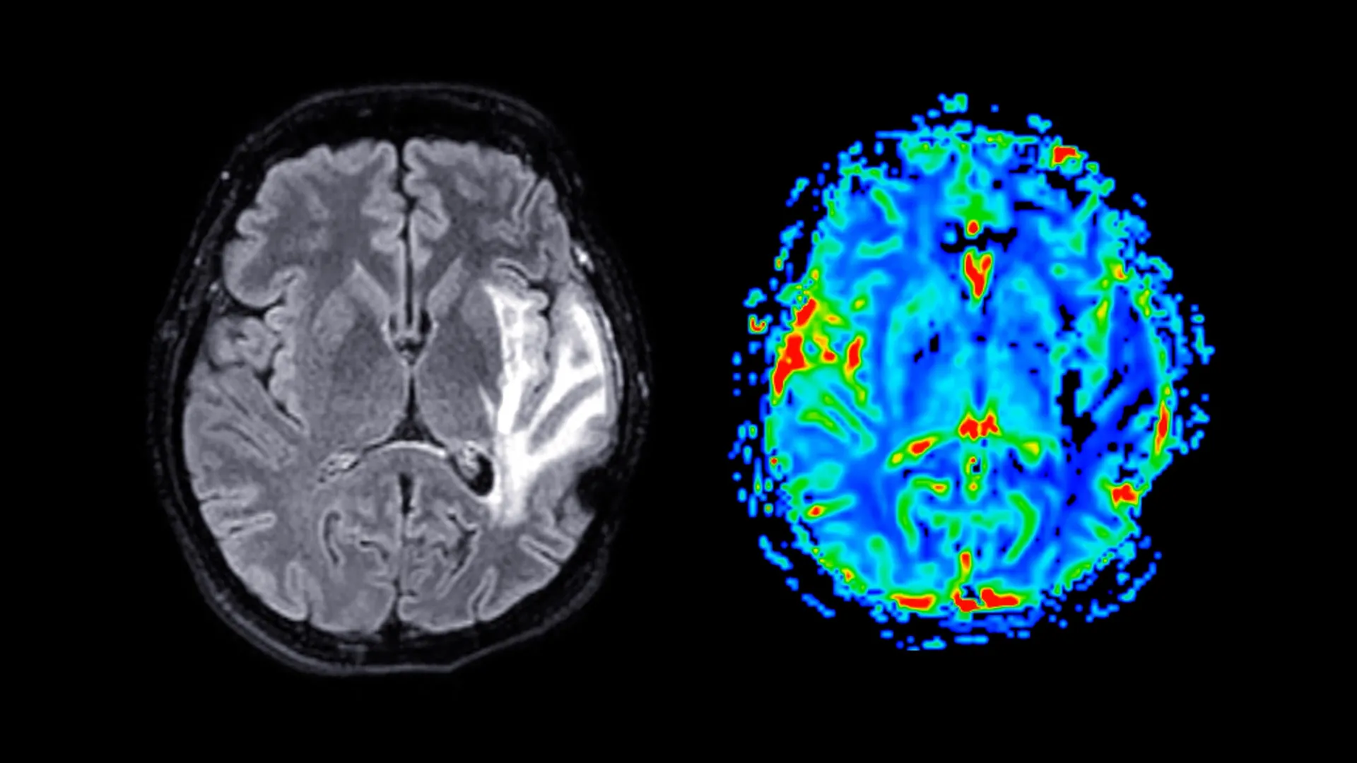
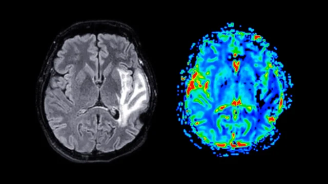
Perda de massa cinzenta em áreas cerebrais associadas à memória e emoção

A imagem cerebral mostra uma redução significativa no volume de substância cinzenta em mulheres na pós-menopausa, independentemente de usarem ou não terapia de reposição hormonal. A substância cinzenta contém corpos de células nervosas e desempenha um papel fundamental no processamento de informações, no controle do movimento, no apoio à memória e na regulação das emoções.

As áreas mais afetadas incluem o hipocampo (responsável pela formação e armazenamento de memórias), o córtex entorrinal (a “porta de entrada” de informações entre o hipocampo e o resto do cérebro) e o córtex cingulado anterior (a parte do cérebro que ajuda a gerenciar emoções, tomar decisões e focar).

Possíveis pistas sobre o risco de demência nas mulheres

A autora sênior do estudo, professora Barbara Sahakian, do Departamento de Psiquiatria, acrescentou: “As áreas do cérebro onde vimos essas diferenças tendem a ser afetadas pela doença de Alzheimer. A menopausa pode tornar essas mulheres mais vulneráveis ​​mais tarde na vida. Embora isso não seja tudo, pode ajudar a explicar por que vemos quase o dobro de casos de demência em mulheres do que em homens”.

Source link